夜間用入れ歯(ナイトデンチャー)
夜間用入れ歯のおすすめ
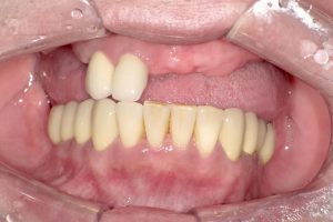
通常、入れ歯(義歯)は、汚れが原因で歯周病や虫歯を悪化させることがあるため、睡眠中には外すことを基本としてお願いしています。
しかし、歯ぎしりをされる方の場合、入れ歯を外して寝ると、残っている歯やかみ合わせに大きな負担がかかり、さまざまな問題が起こる可能性があります。特に、残っている歯が少ない場合には、かみ合わせの力が一部の歯に集中し、下記のような不具合が生じることがあります。

- 歯の過度なすり減り
- 動揺(グラつき)の悪化
- 根の破折
- 顎関節症(あごの関節のトラブル)
- 相手側に歯がないときの咬み込みよる歯肉の傷
夜間用入れ歯をおすすめする理由
- 食事に使わないため、プラーク(汚れ)がつきにく清潔に保ちやすいです
- 残っている歯を守ることができます
- 相手側の歯がなく粘膜に歯が当たってしまう場合、夜用入れ歯を使用することで粘膜を守ることができます
- 顎の関節への負担を減らせます
- 昼間に使う入れ歯を長持ちさせることができます
- 夜用入れ歯が壊れても(昼間に使用する入れ歯があるので)日中の生活に支障をきたさない
- 夜中に立ち上がる必要がある時にバランスを取りやすくなります(転倒防止)
- 緊急時(夜中の地震など)に入れ歯がない状況を防ぐことができます
片顎/税抜き ¥60,000~

